О клинике
Сапфировые брекеты
Сапфировые брекеты
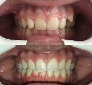
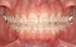
Для тех, кто мечтает о красивой улыбке и ровных зубках, но стесняется носить громоздкие и визуально заметные металлические конструкции, есть альтернативное решение. Это сапфировые брекеты. Практически незаметные, компактные, изящные, они окрашены в тон эмали и почти сливаются с поверхностью зуба.
Сапфировые брекеты – эстетичные системы, которые практически не заметны окружающим. При их выполнении используются материалы высочайшего качества производства Франции, Германии. Ношение таких брекетов не только не приносит дискомфорта, но и может украсить зубной ряд. Установка проходит быстро и просто.

Преимущества сапфировой конструкции
Установка сапфировых брекетов:
Первое посещение врача-ортодонта предполагает общий осмотр и консультацию. Осмотр необходим для выявления каких-либо проблем с зубами или деснами. Брекеты можно устанавливать только на абсолютно здоровые зубы – при наличии кариеса или других заболеваний потребуется предшествующие установке лечение. Затем врач описывает варианты брекет-систем, дает рекомендации по выбору и озвучивает примерную стоимость брекетов.
На втором этапе происходит составление подробного плана лечения. Для этого потребуется сделать панорамный снимок зубов, фото пациента в анфас и профиль, а также рентгеновский снимок черепа (ТРГ). После анализа всех имеющихся данных врач предложит подробный план, озвучит сроки лечения и точную стоимость всех услуг. Когда договор подписан, назначается дата долгожданной установки брекетов. Процесс установки сам по себе не является болезненным. Брекеты крепятся к зубам с помощью специального ортодонтического клея, после чего в пазы вставляются дуги. Именно они будут оказывать давление и двигать каждый зуб в нужном направлении. Весь процесс установки обычно занимает 1,5-2 часа.

Сколько времени занимает лечение?
В среднем продолжительность лечения занимает 1-1,5 года. Точные сроки может устанавливать только врач — ортодонт. Этот же специалист назначает даты очередных осмотров. Обычно они проводятся ежемесячно. Во время таких посещений специалист проводит профилактическую чистку конструкции и следит за изменением прикуса и состоянием зубного ряда.
Правила ношения
Вне зависимости от выбранной брекет-системы вам придется регулярно приходить на плановые осмотры (раз в 1-2 мес) для смены дуг и лигатур (если используются лигатурные брекеты). Особенно важно в процессе лечения выполнять все данные врачом рекомендации по уходу за брекетами. Во-первых, требуется соблюдать диету – желательно ограничить потребление жестких по консистенции продуктов, которые могут повредить сапфировые брекеты. Кроме того, важно соблюдать правила ухода – придется приобрести специальную ортодонтическую щетку и чистить зубы после каждого приема пищи для того, чтобы на брекетах не скапливался налет, который может привести к образованию кариеса.

Сколько стоит сапфировая (прозрачная) брекет-система?
Цена на установку сапфировых брекетов в клинике «Deutsch Dent» (Украина, Киев) будет зависеть от индивидуальных физиологических особенностей пациента, количества необходимых посещений ортодонта и от особенностей выполнения самой брекет-системы. Наша клиника гарантирует качественное выполнение всех предоставляемых услуг. С нашим прейскурантом Вы можете ознакомиться на сайте или записавшись на консультацию к специалистам по телефонам +380662088346, +380974436768

Немецкое качество – украинские цены
Стоматология Deutsch Dent
«Индивидуальный подход к каждому пациенту, высокое качество и безболезненное лечение по самым доступным ценам!»
Наша клиника предоставляет полный набор разнообразных услуг в области дентальной медицины. Ориентация на наивысший уровень в обслуживании, неустанное стремление к удовлетворению пожеланий наиболее требовательных пациентов – это цель работы клиники «Deutsch Dent».
Наши специалисты обладают успешным многолетним опытом и применяют инновационные методы стоматологической диагностики и лечения, используя лучшее европейское оборудование.
«Deutsch Dent» - постоянно поддерживает партнерские отношения с передовыми клиниками Германии. Мы с уверенностью гарантируем отличный результат, стоматологическое лечение на высоком уровне и максимальный комфорт для пациента. Мы обеспечиваем вам и вашим детям лучшее стоматологическое лечение (стоматология на позняках), индивидуальные консультации, высококачественное обслуживание.
Добро пожаловать в Deutsch Dent
d-dent@ukr.net
Сапфировые брекеты
Сапфировые брекеты
Для тех, кто мечтает о красивой улыбке и ровных зубках, но стесняется носить громоздкие и визуально заметные металлические конструкции, есть альтернативное решение. Это сапфировые брекеты. Практически незаметные, компактные, изящные, они окрашены в тон эмали и почти сливаются с поверхностью зуба.
Сапфировые брекеты – эстетичные системы, которые практически не заметны окружающим. При их выполнении используются материалы высочайшего качества производства Франции, Германии. Ношение таких брекетов не только не приносит дискомфорта, но и может украсить зубной ряд. Установка проходит быстро и просто.

Преимущества сапфировой конструкции
Установка сапфировых брекетов:
Первое посещение врача-ортодонта предполагает общий осмотр и консультацию. Осмотр необходим для выявления каких-либо проблем с зубами или деснами. Брекеты можно устанавливать только на абсолютно здоровые зубы – при наличии кариеса или других заболеваний потребуется предшествующие установке лечение. Затем врач описывает варианты брекет-систем, дает рекомендации по выбору и озвучивает примерную стоимость брекетов.
На втором этапе происходит составление подробного плана лечения. Для этого потребуется сделать панорамный снимок зубов, фото пациента в анфас и профиль, а также рентгеновский снимок черепа (ТРГ). После анализа всех имеющихся данных врач предложит подробный план, озвучит сроки лечения и точную стоимость всех услуг. Когда договор подписан, назначается дата долгожданной установки брекетов. Процесс установки сам по себе не является болезненным. Брекеты крепятся к зубам с помощью специального ортодонтического клея, после чего в пазы вставляются дуги. Именно они будут оказывать давление и двигать каждый зуб в нужном направлении. Весь процесс установки обычно занимает 1,5-2 часа.

Сколько времени занимает лечение?
В среднем продолжительность лечения занимает 1-1,5 года. Точные сроки может устанавливать только врач — ортодонт. Этот же специалист назначает даты очередных осмотров. Обычно они проводятся ежемесячно. Во время таких посещений специалист проводит профилактическую чистку конструкции и следит за изменением прикуса и состоянием зубного ряда.
Правила ношения
Вне зависимости от выбранной брекет-системы вам придется регулярно приходить на плановые осмотры (раз в 1-2 мес) для смены дуг и лигатур (если используются лигатурные брекеты). Особенно важно в процессе лечения выполнять все данные врачом рекомендации по уходу за брекетами. Во-первых, требуется соблюдать диету – желательно ограничить потребление жестких по консистенции продуктов, которые могут повредить сапфировые брекеты. Кроме того, важно соблюдать правила ухода – придется приобрести специальную ортодонтическую щетку и чистить зубы после каждого приема пищи для того, чтобы на брекетах не скапливался налет, который может привести к образованию кариеса.

Сколько стоит сапфировая (прозрачная) брекет-система?
Цена на установку сапфировых брекетов в клинике «Deutsch Dent» (Украина, Киев) будет зависеть от индивидуальных физиологических особенностей пациента, количества необходимых посещений ортодонта и от особенностей выполнения самой брекет-системы. Наша клиника гарантирует качественное выполнение всех предоставляемых услуг. С нашим прейскурантом Вы можете ознакомиться на сайте или записавшись на консультацию к специалистам по телефонам +380662088346, +380974436768

Сапфировые брекеты
Сапфировые брекеты
Для тех, кто мечтает о красивой улыбке и ровных зубках, но стесняется носить громоздкие и визуально заметные металлические конструкции, есть альтернативное решение. Это сапфировые брекеты. Практически незаметные, компактные, изящные, они окрашены в тон эмали и почти сливаются с поверхностью зуба.
Сапфировые брекеты – эстетичные системы, которые практически не заметны окружающим. При их выполнении используются материалы высочайшего качества производства Франции, Германии. Ношение таких брекетов не только не приносит дискомфорта, но и может украсить зубной ряд. Установка проходит быстро и просто.

Преимущества сапфировой конструкции
Установка сапфировых брекетов:
Первое посещение врача-ортодонта предполагает общий осмотр и консультацию. Осмотр необходим для выявления каких-либо проблем с зубами или деснами. Брекеты можно устанавливать только на абсолютно здоровые зубы – при наличии кариеса или других заболеваний потребуется предшествующие установке лечение. Затем врач описывает варианты брекет-систем, дает рекомендации по выбору и озвучивает примерную стоимость брекетов.
На втором этапе происходит составление подробного плана лечения. Для этого потребуется сделать панорамный снимок зубов, фото пациента в анфас и профиль, а также рентгеновский снимок черепа (ТРГ). После анализа всех имеющихся данных врач предложит подробный план, озвучит сроки лечения и точную стоимость всех услуг. Когда договор подписан, назначается дата долгожданной установки брекетов. Процесс установки сам по себе не является болезненным. Брекеты крепятся к зубам с помощью специального ортодонтического клея, после чего в пазы вставляются дуги. Именно они будут оказывать давление и двигать каждый зуб в нужном направлении. Весь процесс установки обычно занимает 1,5-2 часа.

Сколько времени занимает лечение?
В среднем продолжительность лечения занимает 1-1,5 года. Точные сроки может устанавливать только врач — ортодонт. Этот же специалист назначает даты очередных осмотров. Обычно они проводятся ежемесячно. Во время таких посещений специалист проводит профилактическую чистку конструкции и следит за изменением прикуса и состоянием зубного ряда.
Правила ношения
Вне зависимости от выбранной брекет-системы вам придется регулярно приходить на плановые осмотры (раз в 1-2 мес) для смены дуг и лигатур (если используются лигатурные брекеты). Особенно важно в процессе лечения выполнять все данные врачом рекомендации по уходу за брекетами. Во-первых, требуется соблюдать диету – желательно ограничить потребление жестких по консистенции продуктов, которые могут повредить сапфировые брекеты. Кроме того, важно соблюдать правила ухода – придется приобрести специальную ортодонтическую щетку и чистить зубы после каждого приема пищи для того, чтобы на брекетах не скапливался налет, который может привести к образованию кариеса.

Сколько стоит сапфировая (прозрачная) брекет-система?
Цена на установку сапфировых брекетов в клинике «Deutsch Dent» (Украина, Киев) будет зависеть от индивидуальных физиологических особенностей пациента, количества необходимых посещений ортодонта и от особенностей выполнения самой брекет-системы. Наша клиника гарантирует качественное выполнение всех предоставляемых услуг. С нашим прейскурантом Вы можете ознакомиться на сайте или записавшись на консультацию к специалистам по телефонам +380662088346, +380974436768

Сапфировые брекеты
Сапфировые брекеты
Для тех, кто мечтает о красивой улыбке и ровных зубках, но стесняется носить громоздкие и визуально заметные металлические конструкции, есть альтернативное решение. Это сапфировые брекеты. Практически незаметные, компактные, изящные, они окрашены в тон эмали и почти сливаются с поверхностью зуба.
Сапфировые брекеты – эстетичные системы, которые практически не заметны окружающим. При их выполнении используются материалы высочайшего качества производства Франции, Германии. Ношение таких брекетов не только не приносит дискомфорта, но и может украсить зубной ряд. Установка проходит быстро и просто.

Преимущества сапфировой конструкции
Установка сапфировых брекетов:
Первое посещение врача-ортодонта предполагает общий осмотр и консультацию. Осмотр необходим для выявления каких-либо проблем с зубами или деснами. Брекеты можно устанавливать только на абсолютно здоровые зубы – при наличии кариеса или других заболеваний потребуется предшествующие установке лечение. Затем врач описывает варианты брекет-систем, дает рекомендации по выбору и озвучивает примерную стоимость брекетов.
На втором этапе происходит составление подробного плана лечения. Для этого потребуется сделать панорамный снимок зубов, фото пациента в анфас и профиль, а также рентгеновский снимок черепа (ТРГ). После анализа всех имеющихся данных врач предложит подробный план, озвучит сроки лечения и точную стоимость всех услуг. Когда договор подписан, назначается дата долгожданной установки брекетов. Процесс установки сам по себе не является болезненным. Брекеты крепятся к зубам с помощью специального ортодонтического клея, после чего в пазы вставляются дуги. Именно они будут оказывать давление и двигать каждый зуб в нужном направлении. Весь процесс установки обычно занимает 1,5-2 часа.

Сколько времени занимает лечение?
В среднем продолжительность лечения занимает 1-1,5 года. Точные сроки может устанавливать только врач — ортодонт. Этот же специалист назначает даты очередных осмотров. Обычно они проводятся ежемесячно. Во время таких посещений специалист проводит профилактическую чистку конструкции и следит за изменением прикуса и состоянием зубного ряда.
Правила ношения
Вне зависимости от выбранной брекет-системы вам придется регулярно приходить на плановые осмотры (раз в 1-2 мес) для смены дуг и лигатур (если используются лигатурные брекеты). Особенно важно в процессе лечения выполнять все данные врачом рекомендации по уходу за брекетами. Во-первых, требуется соблюдать диету – желательно ограничить потребление жестких по консистенции продуктов, которые могут повредить сапфировые брекеты. Кроме того, важно соблюдать правила ухода – придется приобрести специальную ортодонтическую щетку и чистить зубы после каждого приема пищи для того, чтобы на брекетах не скапливался налет, который может привести к образованию кариеса.

Сколько стоит сапфировая (прозрачная) брекет-система?
Цена на установку сапфировых брекетов в клинике «Deutsch Dent» (Украина, Киев) будет зависеть от индивидуальных физиологических особенностей пациента, количества необходимых посещений ортодонта и от особенностей выполнения самой брекет-системы. Наша клиника гарантирует качественное выполнение всех предоставляемых услуг. С нашим прейскурантом Вы можете ознакомиться на сайте или записавшись на консультацию к специалистам по телефонам +380662088346, +380974436768
