О клинике
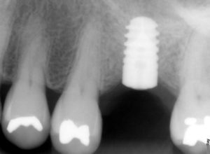
Neobiotech (Юж. Корея) импланты
NeoBiotech (Корея) одна из лучших имплантационных систем с конусным соединением в эконом сегменте. Используется для съемного и несъемного протезирования. Имеет широкую линейку размеров, что позволяет применять Корейские имплантаты Необиотек практически при любой патологии и рекомендовать их пациентам с различными индивидуальными показаниями.

NeoBiotech – это современная система имплантации, которая заняла прочные позиции на современном украинском рынке. Используются как для постоянных, так и для съёмных протезов. Импланты прекрасно подходят как для мгновенной установки, так и для двухэтапной. Производителем был разработан уникальный дизайн BioSeal. Благодаря этому дизайну снижается степень атрофии и рассасывания кости. При производстве используются исключительно качественные материалы. Покрытие S.L.Active гарантирует максимальную приживаемость протеза к кости значительно лучше всех своих конкурентов.
Компания осуществляет свою деятельность на рынке зубных протезов с 2000 года. За это время она успела зарекомендовать себя как надёжный производитель, который внимательно следит за уровнем качества своего товара.

Преимущества НеоБиотек
Импланты NeoBiotech обладают большим количеством преимуществ по сравнению с другими компаниями:
Импланты НеоБиотек изготавливаются по специальной технологии. Они имею конусовидную форму, которая обеспечивает лёгкость и высокую скорость установки. Также немаловажным фактом является то, что конструкция изготовлена из материалов очень высокого качества, которые не нанесут никакого ущерба организму пациента.

Как происходит установка импланта:
Что делает стоматолог:
— когда подействовало обезболивающее средство, врач надрезает десну;
— в костной ткани просверливает небольшое отверстие под будущий зуб;
— устанавливает имплант в подготовленную лунку;
— одевает на выступающую часть металлического штифта специальную заглушку;
— зашивает десну (при необходимости).
Далее врач расскажет, как правильно ухаживать за ротовой полостью, чтобы приживление импланта прошло успешно. На этом хирургический этап установки импланта заканчивается.

` Сколько стоит имплант НеоБиотек
В прайсе стоматологии «Deutsch Dent» обозначены цены на имплантацию под ключ – полный комплекс процедур, начиная с подготовительного этапа, до установки классического имплантата, при однофазном протоколе – включая установку временного протеза. Только формат имплантации зубов под ключ обеспечит вам полное понимание предстоящих расходов, а также даст гарантии, что на каждом из этапов врачи работают с максимальной ответственностью. При выполнении процедуры вживления имплантанта (импланта) зуба в нашей клинике в Киеве мы используем импортные титановые изделия, что гарантирует высокое качество работы. Детальнее ознакомиться со стоимостью Вы можете на нашем сайте или записавшись на прием к врачу, который сможет провести полную диагностику, назначит лечение и определит, какой будет цена, чтобы поставить (вставить) имплант зуба в клинике «Deutsch Dent» (Киев, Украина).
Немецкое качество – украинские цены
Стоматология Deutsch Dent
«Индивидуальный подход к каждому пациенту, высокое качество и безболезненное лечение по самым доступным ценам!»
Наша клиника предоставляет полный набор разнообразных услуг в области дентальной медицины. Ориентация на наивысший уровень в обслуживании, неустанное стремление к удовлетворению пожеланий наиболее требовательных пациентов – это цель работы клиники «Deutsch Dent».
Наши специалисты обладают успешным многолетним опытом и применяют инновационные методы стоматологической диагностики и лечения, используя лучшее европейское оборудование.
«Deutsch Dent» - постоянно поддерживает партнерские отношения с передовыми клиниками Германии. Мы с уверенностью гарантируем отличный результат, стоматологическое лечение на высоком уровне и максимальный комфорт для пациента. Мы обеспечиваем вам и вашим детям лучшее стоматологическое лечение (стоматология на позняках), индивидуальные консультации, высококачественное обслуживание.
Добро пожаловать в Deutsch Dent
d-dent@ukr.net
Neobiotech (Юж. Корея) импланты
NeoBiotech (Корея) одна из лучших имплантационных систем с конусным соединением в эконом сегменте. Используется для съемного и несъемного протезирования. Имеет широкую линейку размеров, что позволяет применять Корейские имплантаты Необиотек практически при любой патологии и рекомендовать их пациентам с различными индивидуальными показаниями.

NeoBiotech – это современная система имплантации, которая заняла прочные позиции на современном украинском рынке. Используются как для постоянных, так и для съёмных протезов. Импланты прекрасно подходят как для мгновенной установки, так и для двухэтапной. Производителем был разработан уникальный дизайн BioSeal. Благодаря этому дизайну снижается степень атрофии и рассасывания кости. При производстве используются исключительно качественные материалы. Покрытие S.L.Active гарантирует максимальную приживаемость протеза к кости значительно лучше всех своих конкурентов.
Компания осуществляет свою деятельность на рынке зубных протезов с 2000 года. За это время она успела зарекомендовать себя как надёжный производитель, который внимательно следит за уровнем качества своего товара.

Преимущества НеоБиотек
Импланты NeoBiotech обладают большим количеством преимуществ по сравнению с другими компаниями:
Импланты НеоБиотек изготавливаются по специальной технологии. Они имею конусовидную форму, которая обеспечивает лёгкость и высокую скорость установки. Также немаловажным фактом является то, что конструкция изготовлена из материалов очень высокого качества, которые не нанесут никакого ущерба организму пациента.

Как происходит установка импланта:
Что делает стоматолог:
— когда подействовало обезболивающее средство, врач надрезает десну;
— в костной ткани просверливает небольшое отверстие под будущий зуб;
— устанавливает имплант в подготовленную лунку;
— одевает на выступающую часть металлического штифта специальную заглушку;
— зашивает десну (при необходимости).
Далее врач расскажет, как правильно ухаживать за ротовой полостью, чтобы приживление импланта прошло успешно. На этом хирургический этап установки импланта заканчивается.

` Сколько стоит имплант НеоБиотек
В прайсе стоматологии «Deutsch Dent» обозначены цены на имплантацию под ключ – полный комплекс процедур, начиная с подготовительного этапа, до установки классического имплантата, при однофазном протоколе – включая установку временного протеза. Только формат имплантации зубов под ключ обеспечит вам полное понимание предстоящих расходов, а также даст гарантии, что на каждом из этапов врачи работают с максимальной ответственностью. При выполнении процедуры вживления имплантанта (импланта) зуба в нашей клинике в Киеве мы используем импортные титановые изделия, что гарантирует высокое качество работы. Детальнее ознакомиться со стоимостью Вы можете на нашем сайте или записавшись на прием к врачу, который сможет провести полную диагностику, назначит лечение и определит, какой будет цена, чтобы поставить (вставить) имплант зуба в клинике «Deutsch Dent» (Киев, Украина).
Neobiotech (Юж. Корея) импланты
NeoBiotech (Корея) одна из лучших имплантационных систем с конусным соединением в эконом сегменте. Используется для съемного и несъемного протезирования. Имеет широкую линейку размеров, что позволяет применять Корейские имплантаты Необиотек практически при любой патологии и рекомендовать их пациентам с различными индивидуальными показаниями.

NeoBiotech – это современная система имплантации, которая заняла прочные позиции на современном украинском рынке. Используются как для постоянных, так и для съёмных протезов. Импланты прекрасно подходят как для мгновенной установки, так и для двухэтапной. Производителем был разработан уникальный дизайн BioSeal. Благодаря этому дизайну снижается степень атрофии и рассасывания кости. При производстве используются исключительно качественные материалы. Покрытие S.L.Active гарантирует максимальную приживаемость протеза к кости значительно лучше всех своих конкурентов.
Компания осуществляет свою деятельность на рынке зубных протезов с 2000 года. За это время она успела зарекомендовать себя как надёжный производитель, который внимательно следит за уровнем качества своего товара.

Преимущества НеоБиотек
Импланты NeoBiotech обладают большим количеством преимуществ по сравнению с другими компаниями:
Импланты НеоБиотек изготавливаются по специальной технологии. Они имею конусовидную форму, которая обеспечивает лёгкость и высокую скорость установки. Также немаловажным фактом является то, что конструкция изготовлена из материалов очень высокого качества, которые не нанесут никакого ущерба организму пациента.

Как происходит установка импланта:
Что делает стоматолог:
— когда подействовало обезболивающее средство, врач надрезает десну;
— в костной ткани просверливает небольшое отверстие под будущий зуб;
— устанавливает имплант в подготовленную лунку;
— одевает на выступающую часть металлического штифта специальную заглушку;
— зашивает десну (при необходимости).
Далее врач расскажет, как правильно ухаживать за ротовой полостью, чтобы приживление импланта прошло успешно. На этом хирургический этап установки импланта заканчивается.

` Сколько стоит имплант НеоБиотек
В прайсе стоматологии «Deutsch Dent» обозначены цены на имплантацию под ключ – полный комплекс процедур, начиная с подготовительного этапа, до установки классического имплантата, при однофазном протоколе – включая установку временного протеза. Только формат имплантации зубов под ключ обеспечит вам полное понимание предстоящих расходов, а также даст гарантии, что на каждом из этапов врачи работают с максимальной ответственностью. При выполнении процедуры вживления имплантанта (импланта) зуба в нашей клинике в Киеве мы используем импортные титановые изделия, что гарантирует высокое качество работы. Детальнее ознакомиться со стоимостью Вы можете на нашем сайте или записавшись на прием к врачу, который сможет провести полную диагностику, назначит лечение и определит, какой будет цена, чтобы поставить (вставить) имплант зуба в клинике «Deutsch Dent» (Киев, Украина).
Neobiotech (Юж. Корея) импланты
NeoBiotech (Корея) одна из лучших имплантационных систем с конусным соединением в эконом сегменте. Используется для съемного и несъемного протезирования. Имеет широкую линейку размеров, что позволяет применять Корейские имплантаты Необиотек практически при любой патологии и рекомендовать их пациентам с различными индивидуальными показаниями.

NeoBiotech – это современная система имплантации, которая заняла прочные позиции на современном украинском рынке. Используются как для постоянных, так и для съёмных протезов. Импланты прекрасно подходят как для мгновенной установки, так и для двухэтапной. Производителем был разработан уникальный дизайн BioSeal. Благодаря этому дизайну снижается степень атрофии и рассасывания кости. При производстве используются исключительно качественные материалы. Покрытие S.L.Active гарантирует максимальную приживаемость протеза к кости значительно лучше всех своих конкурентов.
Компания осуществляет свою деятельность на рынке зубных протезов с 2000 года. За это время она успела зарекомендовать себя как надёжный производитель, который внимательно следит за уровнем качества своего товара.

Преимущества НеоБиотек
Импланты NeoBiotech обладают большим количеством преимуществ по сравнению с другими компаниями:
Импланты НеоБиотек изготавливаются по специальной технологии. Они имею конусовидную форму, которая обеспечивает лёгкость и высокую скорость установки. Также немаловажным фактом является то, что конструкция изготовлена из материалов очень высокого качества, которые не нанесут никакого ущерба организму пациента.

Как происходит установка импланта:
Что делает стоматолог:
— когда подействовало обезболивающее средство, врач надрезает десну;
— в костной ткани просверливает небольшое отверстие под будущий зуб;
— устанавливает имплант в подготовленную лунку;
— одевает на выступающую часть металлического штифта специальную заглушку;
— зашивает десну (при необходимости).
Далее врач расскажет, как правильно ухаживать за ротовой полостью, чтобы приживление импланта прошло успешно. На этом хирургический этап установки импланта заканчивается.

` Сколько стоит имплант НеоБиотек
В прайсе стоматологии «Deutsch Dent» обозначены цены на имплантацию под ключ – полный комплекс процедур, начиная с подготовительного этапа, до установки классического имплантата, при однофазном протоколе – включая установку временного протеза. Только формат имплантации зубов под ключ обеспечит вам полное понимание предстоящих расходов, а также даст гарантии, что на каждом из этапов врачи работают с максимальной ответственностью. При выполнении процедуры вживления имплантанта (импланта) зуба в нашей клинике в Киеве мы используем импортные титановые изделия, что гарантирует высокое качество работы. Детальнее ознакомиться со стоимостью Вы можете на нашем сайте или записавшись на прием к врачу, который сможет провести полную диагностику, назначит лечение и определит, какой будет цена, чтобы поставить (вставить) имплант зуба в клинике «Deutsch Dent» (Киев, Украина).