О клинике
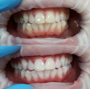
Magic smile
Существует масса способов избавиться от зубного налета в домашних условиях, рекламы различных гелей и полосок обещают белоснежную улыбку уже после первого применения, а отбеливающие пасты просто на пике популярности. Однако, любое отбеливание вне стен стоматологического кабинета носит лишь временный характер, а может и вовсе не дать никаких результатов.

На сегодняшний день наша клиника предлагает новейшую американскую систему «Magic Smile». Гель на основе карбамида не влияет на химическую структуру зубов, а только лишь устраняет их пигментацию, как следствие, мы получаем естественный красивый цвет. В отличие от устаревших технологий, процедура отбеливания гелем не оказывает разрушающего действия на эмаль и абсолютно безопасна для зубов. Гель активируется при помощи светодиодной лампы, которая излучает холодный свет. Всего через 60 мин., Вы сможете стать обладателем белоснежной улыбки, а степень отбеливания при этом составляет около 6-12 тонов.
Чтобы после процедуры Ваши зубы как можно дольше оставались белоснежными, стоит ответственно подготовиться к отбеливанию. Пролечите кариес, удалите твердый зубной налет. Возможно, понадобиться процедура фторирования, это значительно укрепит эмаль.

В течение 48 часов после отбеливания рекомендуется ограничить такие продукты, как кофе, чай, красное вино, кола, ягоды, различные соусы, сверка и морковь. Лучше навсегда отказаться от курения. Для гигиены полости рта используйте специальные пасты для чувствительных зубов.
Чем темнее был изначальный оттенок зубов, тем устойчивее будет результат отбеливания. У некоторых пациентов зубы и вовсе не возвращаются к прежнему оттенку, оставаясь белыми всю жизнь. Регулярные гигиенические чистки в кабинете стоматолога максимально продлят эффект отбеливания и подарят Вам красивую и здоровую улыбку.
Так же мы рекомендуем использовать для поддержания отбеливающего эффекта систему домашнего отбеливания, которую наши специалисты помогут подобрать именно для Вас, исходя из индивидуальных особенностей Ваших зубов.
Этапы отбеливания зубов системой Magic smile
Этап 1 – подготовка. Перед началом отбеливания врач предложит вам очки для защиты глаз, увлажнит губы, установит во рту специальную конструкцию, которая зафиксирует челюсти в нужном положении, и нанесет на десны жидкий коффердам, чтобы избежать их раздражения от отбеливающего геля.
Этап 2 – покрытие зубов гелем. Далее зубы покроют прозрачным кислородным гелем на основе 44% Carbamide Peroxide и начнут отбеливание с лампой холодного свечения на 10 минут.
Этап 3 – повторное нанесение геля. После этого специалист удалит отбеливающий гель, а затем снова нанесет его и включит лампу, эту процедуру необходимо повторить три раза. Отбеливания зубов с помощью системы Magic Smile занимает около часа.
Этап 4 – укрепление эмали зубов. Завершая холодное отбеливание зубов Magic Smile, врач покроет зубы средством на основе фтора для укрепления зубной эмали после процедуры.

Стоимость отбеливания Magic Smile в Киеве
Стоматологическая клиника «Deutsch Dent» предлагает пациентам процедуру отбеливания зубов системой Magic Smile у профессиональных специалистов. Цена на отбеливание зубов Magic Smile в нашей клинике, которая находится в городе Киев возле метро Позняки — доступна для всех, и включает как процедуру осветления эмали, так и стоимость расходных материалов. Если Вы хотите получить белоснежную улыбку, проведите процедуру отбеливания зубов в стоматологии «Deutsch Dent» и Вы останетесь довольны результатом. Первичный прием и консультация — бесплатно. Записаться на прием можно по телефонам, указанным на сайте
Немецкое качество – украинские цены
Стоматология Deutsch Dent
«Индивидуальный подход к каждому пациенту, высокое качество и безболезненное лечение по самым доступным ценам!»
Наша клиника предоставляет полный набор разнообразных услуг в области дентальной медицины. Ориентация на наивысший уровень в обслуживании, неустанное стремление к удовлетворению пожеланий наиболее требовательных пациентов – это цель работы клиники «Deutsch Dent».
Наши специалисты обладают успешным многолетним опытом и применяют инновационные методы стоматологической диагностики и лечения, используя лучшее европейское оборудование.
«Deutsch Dent» - постоянно поддерживает партнерские отношения с передовыми клиниками Германии. Мы с уверенностью гарантируем отличный результат, стоматологическое лечение на высоком уровне и максимальный комфорт для пациента. Мы обеспечиваем вам и вашим детям лучшее стоматологическое лечение (стоматология на позняках), индивидуальные консультации, высококачественное обслуживание.
Добро пожаловать в Deutsch Dent
d-dent@ukr.net
Magic smile
Существует масса способов избавиться от зубного налета в домашних условиях, рекламы различных гелей и полосок обещают белоснежную улыбку уже после первого применения, а отбеливающие пасты просто на пике популярности. Однако, любое отбеливание вне стен стоматологического кабинета носит лишь временный характер, а может и вовсе не дать никаких результатов.

На сегодняшний день наша клиника предлагает новейшую американскую систему «Magic Smile». Гель на основе карбамида не влияет на химическую структуру зубов, а только лишь устраняет их пигментацию, как следствие, мы получаем естественный красивый цвет. В отличие от устаревших технологий, процедура отбеливания гелем не оказывает разрушающего действия на эмаль и абсолютно безопасна для зубов. Гель активируется при помощи светодиодной лампы, которая излучает холодный свет. Всего через 60 мин., Вы сможете стать обладателем белоснежной улыбки, а степень отбеливания при этом составляет около 6-12 тонов.
Чтобы после процедуры Ваши зубы как можно дольше оставались белоснежными, стоит ответственно подготовиться к отбеливанию. Пролечите кариес, удалите твердый зубной налет. Возможно, понадобиться процедура фторирования, это значительно укрепит эмаль.

В течение 48 часов после отбеливания рекомендуется ограничить такие продукты, как кофе, чай, красное вино, кола, ягоды, различные соусы, сверка и морковь. Лучше навсегда отказаться от курения. Для гигиены полости рта используйте специальные пасты для чувствительных зубов.
Чем темнее был изначальный оттенок зубов, тем устойчивее будет результат отбеливания. У некоторых пациентов зубы и вовсе не возвращаются к прежнему оттенку, оставаясь белыми всю жизнь. Регулярные гигиенические чистки в кабинете стоматолога максимально продлят эффект отбеливания и подарят Вам красивую и здоровую улыбку.
Так же мы рекомендуем использовать для поддержания отбеливающего эффекта систему домашнего отбеливания, которую наши специалисты помогут подобрать именно для Вас, исходя из индивидуальных особенностей Ваших зубов.
Этапы отбеливания зубов системой Magic smile
Этап 1 – подготовка. Перед началом отбеливания врач предложит вам очки для защиты глаз, увлажнит губы, установит во рту специальную конструкцию, которая зафиксирует челюсти в нужном положении, и нанесет на десны жидкий коффердам, чтобы избежать их раздражения от отбеливающего геля.
Этап 2 – покрытие зубов гелем. Далее зубы покроют прозрачным кислородным гелем на основе 44% Carbamide Peroxide и начнут отбеливание с лампой холодного свечения на 10 минут.
Этап 3 – повторное нанесение геля. После этого специалист удалит отбеливающий гель, а затем снова нанесет его и включит лампу, эту процедуру необходимо повторить три раза. Отбеливания зубов с помощью системы Magic Smile занимает около часа.
Этап 4 – укрепление эмали зубов. Завершая холодное отбеливание зубов Magic Smile, врач покроет зубы средством на основе фтора для укрепления зубной эмали после процедуры.

Стоимость отбеливания Magic Smile в Киеве
Стоматологическая клиника «Deutsch Dent» предлагает пациентам процедуру отбеливания зубов системой Magic Smile у профессиональных специалистов. Цена на отбеливание зубов Magic Smile в нашей клинике, которая находится в городе Киев возле метро Позняки — доступна для всех, и включает как процедуру осветления эмали, так и стоимость расходных материалов. Если Вы хотите получить белоснежную улыбку, проведите процедуру отбеливания зубов в стоматологии «Deutsch Dent» и Вы останетесь довольны результатом. Первичный прием и консультация — бесплатно. Записаться на прием можно по телефонам, указанным на сайте
Magic smile
Существует масса способов избавиться от зубного налета в домашних условиях, рекламы различных гелей и полосок обещают белоснежную улыбку уже после первого применения, а отбеливающие пасты просто на пике популярности. Однако, любое отбеливание вне стен стоматологического кабинета носит лишь временный характер, а может и вовсе не дать никаких результатов.

На сегодняшний день наша клиника предлагает новейшую американскую систему «Magic Smile». Гель на основе карбамида не влияет на химическую структуру зубов, а только лишь устраняет их пигментацию, как следствие, мы получаем естественный красивый цвет. В отличие от устаревших технологий, процедура отбеливания гелем не оказывает разрушающего действия на эмаль и абсолютно безопасна для зубов. Гель активируется при помощи светодиодной лампы, которая излучает холодный свет. Всего через 60 мин., Вы сможете стать обладателем белоснежной улыбки, а степень отбеливания при этом составляет около 6-12 тонов.
Чтобы после процедуры Ваши зубы как можно дольше оставались белоснежными, стоит ответственно подготовиться к отбеливанию. Пролечите кариес, удалите твердый зубной налет. Возможно, понадобиться процедура фторирования, это значительно укрепит эмаль.

В течение 48 часов после отбеливания рекомендуется ограничить такие продукты, как кофе, чай, красное вино, кола, ягоды, различные соусы, сверка и морковь. Лучше навсегда отказаться от курения. Для гигиены полости рта используйте специальные пасты для чувствительных зубов.
Чем темнее был изначальный оттенок зубов, тем устойчивее будет результат отбеливания. У некоторых пациентов зубы и вовсе не возвращаются к прежнему оттенку, оставаясь белыми всю жизнь. Регулярные гигиенические чистки в кабинете стоматолога максимально продлят эффект отбеливания и подарят Вам красивую и здоровую улыбку.
Так же мы рекомендуем использовать для поддержания отбеливающего эффекта систему домашнего отбеливания, которую наши специалисты помогут подобрать именно для Вас, исходя из индивидуальных особенностей Ваших зубов.
Этапы отбеливания зубов системой Magic smile
Этап 1 – подготовка. Перед началом отбеливания врач предложит вам очки для защиты глаз, увлажнит губы, установит во рту специальную конструкцию, которая зафиксирует челюсти в нужном положении, и нанесет на десны жидкий коффердам, чтобы избежать их раздражения от отбеливающего геля.
Этап 2 – покрытие зубов гелем. Далее зубы покроют прозрачным кислородным гелем на основе 44% Carbamide Peroxide и начнут отбеливание с лампой холодного свечения на 10 минут.
Этап 3 – повторное нанесение геля. После этого специалист удалит отбеливающий гель, а затем снова нанесет его и включит лампу, эту процедуру необходимо повторить три раза. Отбеливания зубов с помощью системы Magic Smile занимает около часа.
Этап 4 – укрепление эмали зубов. Завершая холодное отбеливание зубов Magic Smile, врач покроет зубы средством на основе фтора для укрепления зубной эмали после процедуры.

Стоимость отбеливания Magic Smile в Киеве
Стоматологическая клиника «Deutsch Dent» предлагает пациентам процедуру отбеливания зубов системой Magic Smile у профессиональных специалистов. Цена на отбеливание зубов Magic Smile в нашей клинике, которая находится в городе Киев возле метро Позняки — доступна для всех, и включает как процедуру осветления эмали, так и стоимость расходных материалов. Если Вы хотите получить белоснежную улыбку, проведите процедуру отбеливания зубов в стоматологии «Deutsch Dent» и Вы останетесь довольны результатом. Первичный прием и консультация — бесплатно. Записаться на прием можно по телефонам, указанным на сайте
Magic smile
Существует масса способов избавиться от зубного налета в домашних условиях, рекламы различных гелей и полосок обещают белоснежную улыбку уже после первого применения, а отбеливающие пасты просто на пике популярности. Однако, любое отбеливание вне стен стоматологического кабинета носит лишь временный характер, а может и вовсе не дать никаких результатов.

На сегодняшний день наша клиника предлагает новейшую американскую систему «Magic Smile». Гель на основе карбамида не влияет на химическую структуру зубов, а только лишь устраняет их пигментацию, как следствие, мы получаем естественный красивый цвет. В отличие от устаревших технологий, процедура отбеливания гелем не оказывает разрушающего действия на эмаль и абсолютно безопасна для зубов. Гель активируется при помощи светодиодной лампы, которая излучает холодный свет. Всего через 60 мин., Вы сможете стать обладателем белоснежной улыбки, а степень отбеливания при этом составляет около 6-12 тонов.
Чтобы после процедуры Ваши зубы как можно дольше оставались белоснежными, стоит ответственно подготовиться к отбеливанию. Пролечите кариес, удалите твердый зубной налет. Возможно, понадобиться процедура фторирования, это значительно укрепит эмаль.

В течение 48 часов после отбеливания рекомендуется ограничить такие продукты, как кофе, чай, красное вино, кола, ягоды, различные соусы, сверка и морковь. Лучше навсегда отказаться от курения. Для гигиены полости рта используйте специальные пасты для чувствительных зубов.
Чем темнее был изначальный оттенок зубов, тем устойчивее будет результат отбеливания. У некоторых пациентов зубы и вовсе не возвращаются к прежнему оттенку, оставаясь белыми всю жизнь. Регулярные гигиенические чистки в кабинете стоматолога максимально продлят эффект отбеливания и подарят Вам красивую и здоровую улыбку.
Так же мы рекомендуем использовать для поддержания отбеливающего эффекта систему домашнего отбеливания, которую наши специалисты помогут подобрать именно для Вас, исходя из индивидуальных особенностей Ваших зубов.
Этапы отбеливания зубов системой Magic smile
Этап 1 – подготовка. Перед началом отбеливания врач предложит вам очки для защиты глаз, увлажнит губы, установит во рту специальную конструкцию, которая зафиксирует челюсти в нужном положении, и нанесет на десны жидкий коффердам, чтобы избежать их раздражения от отбеливающего геля.
Этап 2 – покрытие зубов гелем. Далее зубы покроют прозрачным кислородным гелем на основе 44% Carbamide Peroxide и начнут отбеливание с лампой холодного свечения на 10 минут.
Этап 3 – повторное нанесение геля. После этого специалист удалит отбеливающий гель, а затем снова нанесет его и включит лампу, эту процедуру необходимо повторить три раза. Отбеливания зубов с помощью системы Magic Smile занимает около часа.
Этап 4 – укрепление эмали зубов. Завершая холодное отбеливание зубов Magic Smile, врач покроет зубы средством на основе фтора для укрепления зубной эмали после процедуры.

Стоимость отбеливания Magic Smile в Киеве
Стоматологическая клиника «Deutsch Dent» предлагает пациентам процедуру отбеливания зубов системой Magic Smile у профессиональных специалистов. Цена на отбеливание зубов Magic Smile в нашей клинике, которая находится в городе Киев возле метро Позняки — доступна для всех, и включает как процедуру осветления эмали, так и стоимость расходных материалов. Если Вы хотите получить белоснежную улыбку, проведите процедуру отбеливания зубов в стоматологии «Deutsch Dent» и Вы останетесь довольны результатом. Первичный прием и консультация — бесплатно. Записаться на прием можно по телефонам, указанным на сайте