О клинике
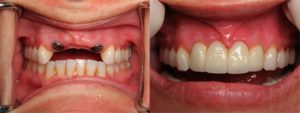
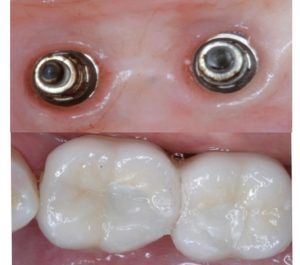
Коронка на имплант
Коронка на имплант
Имплантация – это вживление в костную ткань челюсти титанового стержня, который и называется имплантатом. Сам по себе он не восстанавливает эстетику зуба, для этого на него необходимо установить коронку. Она устанавливается не на сам имплантат, а на абатмент, который вставляется в стержень и служит переходным звеном между имплантатом и коронкой. Чаще всего на каждый имплантат ставится одна коронка, но в некоторых случаях, при обширных дефектах имплантаты устанавливают не в каждую лунку, и они используются в качестве опоры для съемных или несъемных протезов.

Временные коронки обычно делают из пластмассы, а постоянные из керамики. Керамика может быть безметалловой (диоксид циркония) или металлической. Благодаря тому что цена металлокерамических коронок на имплантате ниже, чем сделанных из диоксида циркония, они очень востребованы среди пациентов.
Коронки из металлокерамики представляют собой прочный металлический каркас, покрытый тонким слоем керамики, обеспечивающим превосходную эстетику зубов. Срок службы металлокерамических коронок составляет больше 10 лет. Если на них образуются какие-то дефекты, то коронки можно легко заменить без извлечения имплантата.
Преимущества установки металлокерамической коронки на имплантат


Сколько стоит коронка на имплант в клинике «Deutsch Dent», Киев
В нашей клинике установка коронок из металлокерамики, в том числе на имплантат, является одним из самых востребованных способов протезирования. Специалисты имеют большой опыт их изготовления, что позволяет гарантировать безупречный с эстетической и функциональной точки зрения результат. При этом соотношение качества и цены, предлагаемое в клинике «Deutsch Dent» , выделяет нас из ряда коллег.
Общая стоимость складывается из цены имплантации, которая зависит от используемого имплантата, типа абатмента, сложности ситуации, особенностей установки конструкции, а также из количества коронок, которые необходимо установить. В том случае, если дефект зубного ряда обширный, может быть изготовлен протез, фиксирующийся на имплантатах, на который крепятся коронки из металлокерамики.
Чтобы узнать точную стоимость всей процедуры, Вы можете записаться на нашем сайте на прием к врачу, который проведет детальную диагностику ротовой полости.
Немецкое качество – украинские цены
Стоматология Deutsch Dent
«Индивидуальный подход к каждому пациенту, высокое качество и безболезненное лечение по самым доступным ценам!»
Наша клиника предоставляет полный набор разнообразных услуг в области дентальной медицины. Ориентация на наивысший уровень в обслуживании, неустанное стремление к удовлетворению пожеланий наиболее требовательных пациентов – это цель работы клиники «Deutsch Dent».
Наши специалисты обладают успешным многолетним опытом и применяют инновационные методы стоматологической диагностики и лечения, используя лучшее европейское оборудование.
«Deutsch Dent» - постоянно поддерживает партнерские отношения с передовыми клиниками Германии. Мы с уверенностью гарантируем отличный результат, стоматологическое лечение на высоком уровне и максимальный комфорт для пациента. Мы обеспечиваем вам и вашим детям лучшее стоматологическое лечение (стоматология на позняках), индивидуальные консультации, высококачественное обслуживание.
Добро пожаловать в Deutsch Dent
d-dent@ukr.net
Коронка на имплант
Коронка на имплант
Имплантация – это вживление в костную ткань челюсти титанового стержня, который и называется имплантатом. Сам по себе он не восстанавливает эстетику зуба, для этого на него необходимо установить коронку. Она устанавливается не на сам имплантат, а на абатмент, который вставляется в стержень и служит переходным звеном между имплантатом и коронкой. Чаще всего на каждый имплантат ставится одна коронка, но в некоторых случаях, при обширных дефектах имплантаты устанавливают не в каждую лунку, и они используются в качестве опоры для съемных или несъемных протезов.

Временные коронки обычно делают из пластмассы, а постоянные из керамики. Керамика может быть безметалловой (диоксид циркония) или металлической. Благодаря тому что цена металлокерамических коронок на имплантате ниже, чем сделанных из диоксида циркония, они очень востребованы среди пациентов.
Коронки из металлокерамики представляют собой прочный металлический каркас, покрытый тонким слоем керамики, обеспечивающим превосходную эстетику зубов. Срок службы металлокерамических коронок составляет больше 10 лет. Если на них образуются какие-то дефекты, то коронки можно легко заменить без извлечения имплантата.
Преимущества установки металлокерамической коронки на имплантат


Сколько стоит коронка на имплант в клинике «Deutsch Dent», Киев
В нашей клинике установка коронок из металлокерамики, в том числе на имплантат, является одним из самых востребованных способов протезирования. Специалисты имеют большой опыт их изготовления, что позволяет гарантировать безупречный с эстетической и функциональной точки зрения результат. При этом соотношение качества и цены, предлагаемое в клинике «Deutsch Dent» , выделяет нас из ряда коллег.
Общая стоимость складывается из цены имплантации, которая зависит от используемого имплантата, типа абатмента, сложности ситуации, особенностей установки конструкции, а также из количества коронок, которые необходимо установить. В том случае, если дефект зубного ряда обширный, может быть изготовлен протез, фиксирующийся на имплантатах, на который крепятся коронки из металлокерамики.
Чтобы узнать точную стоимость всей процедуры, Вы можете записаться на нашем сайте на прием к врачу, который проведет детальную диагностику ротовой полости.
Коронка на имплант
Коронка на имплант
Имплантация – это вживление в костную ткань челюсти титанового стержня, который и называется имплантатом. Сам по себе он не восстанавливает эстетику зуба, для этого на него необходимо установить коронку. Она устанавливается не на сам имплантат, а на абатмент, который вставляется в стержень и служит переходным звеном между имплантатом и коронкой. Чаще всего на каждый имплантат ставится одна коронка, но в некоторых случаях, при обширных дефектах имплантаты устанавливают не в каждую лунку, и они используются в качестве опоры для съемных или несъемных протезов.

Временные коронки обычно делают из пластмассы, а постоянные из керамики. Керамика может быть безметалловой (диоксид циркония) или металлической. Благодаря тому что цена металлокерамических коронок на имплантате ниже, чем сделанных из диоксида циркония, они очень востребованы среди пациентов.
Коронки из металлокерамики представляют собой прочный металлический каркас, покрытый тонким слоем керамики, обеспечивающим превосходную эстетику зубов. Срок службы металлокерамических коронок составляет больше 10 лет. Если на них образуются какие-то дефекты, то коронки можно легко заменить без извлечения имплантата.
Преимущества установки металлокерамической коронки на имплантат


Сколько стоит коронка на имплант в клинике «Deutsch Dent», Киев
В нашей клинике установка коронок из металлокерамики, в том числе на имплантат, является одним из самых востребованных способов протезирования. Специалисты имеют большой опыт их изготовления, что позволяет гарантировать безупречный с эстетической и функциональной точки зрения результат. При этом соотношение качества и цены, предлагаемое в клинике «Deutsch Dent» , выделяет нас из ряда коллег.
Общая стоимость складывается из цены имплантации, которая зависит от используемого имплантата, типа абатмента, сложности ситуации, особенностей установки конструкции, а также из количества коронок, которые необходимо установить. В том случае, если дефект зубного ряда обширный, может быть изготовлен протез, фиксирующийся на имплантатах, на который крепятся коронки из металлокерамики.
Чтобы узнать точную стоимость всей процедуры, Вы можете записаться на нашем сайте на прием к врачу, который проведет детальную диагностику ротовой полости.
Коронка на имплант
Коронка на имплант
Имплантация – это вживление в костную ткань челюсти титанового стержня, который и называется имплантатом. Сам по себе он не восстанавливает эстетику зуба, для этого на него необходимо установить коронку. Она устанавливается не на сам имплантат, а на абатмент, который вставляется в стержень и служит переходным звеном между имплантатом и коронкой. Чаще всего на каждый имплантат ставится одна коронка, но в некоторых случаях, при обширных дефектах имплантаты устанавливают не в каждую лунку, и они используются в качестве опоры для съемных или несъемных протезов.

Временные коронки обычно делают из пластмассы, а постоянные из керамики. Керамика может быть безметалловой (диоксид циркония) или металлической. Благодаря тому что цена металлокерамических коронок на имплантате ниже, чем сделанных из диоксида циркония, они очень востребованы среди пациентов.
Коронки из металлокерамики представляют собой прочный металлический каркас, покрытый тонким слоем керамики, обеспечивающим превосходную эстетику зубов. Срок службы металлокерамических коронок составляет больше 10 лет. Если на них образуются какие-то дефекты, то коронки можно легко заменить без извлечения имплантата.
Преимущества установки металлокерамической коронки на имплантат


Сколько стоит коронка на имплант в клинике «Deutsch Dent», Киев
В нашей клинике установка коронок из металлокерамики, в том числе на имплантат, является одним из самых востребованных способов протезирования. Специалисты имеют большой опыт их изготовления, что позволяет гарантировать безупречный с эстетической и функциональной точки зрения результат. При этом соотношение качества и цены, предлагаемое в клинике «Deutsch Dent» , выделяет нас из ряда коллег.
Общая стоимость складывается из цены имплантации, которая зависит от используемого имплантата, типа абатмента, сложности ситуации, особенностей установки конструкции, а также из количества коронок, которые необходимо установить. В том случае, если дефект зубного ряда обширный, может быть изготовлен протез, фиксирующийся на имплантатах, на который крепятся коронки из металлокерамики.
Чтобы узнать точную стоимость всей процедуры, Вы можете записаться на нашем сайте на прием к врачу, который проведет детальную диагностику ротовой полости.