О клинике
Керамические брекеты
Керамические брекеты
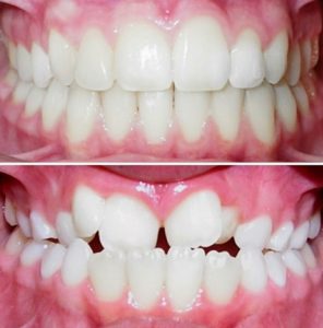
Керамические брекеты — несъемные системы, состоящие из замочков, дуги, дополнительных механизмов (пружины, цепочки, кольца). Замок задает вектор перемещения зуба. Он соединен с дугой, обладающей «эффектом памяти». После установки керамических брекетов, дуга стремится вернуться в первоначальное положение, исправляя неправильный прикус. Она является своеобразным механизмом для передвижения зубов.
Керамические брекеты – наиболее распространенная конструкция, применяющаяся в современной стоматологии для исправления прикуса и выравнивания зубного ряда.

Разновидности
По способу крепления замочков к дуге керамические брекеты могут быть – лигатурные и безлигатурные.
Лигатурные брекеты – классика ортодонтии. Нередко самые тяжелые нарушения прикуса можно исправить только при помощи таких брекетов. В лигатурной системе брекеты крепятся к дуге с помощью эластичных колец или тонкой ортодонтической проволоки. Такие брекет-системы эффективны при исправлении нарушений прикуса, они надежны и стоят недорого.
Безлигатурные, или самолигирующие брекеты – тенденция последнего десятилетия в ортодонтии, пришедшая из США. Такие системы позволяют уменьшить количество необходимых посещений доктора и облегчить соблюдение гигиены полости рта. Безлигатурные брекеты оснащены скользящими фиксаторами, с помощью которых дугу можно заменить чуть быстрее, тем самым сокращается время визита к доктору. Умение работать на таких системах для доктора сопряжена с необходимостью дополнительного обучения. Поэтому лечение на самолигирующих системах, как правило, стоит немного дороже, чем на безлигатурных.
Преимущества керамических брекетов
Основное преимущество керамических брекетов в том, что можно подобрать оттенок идентичный натуральному цвету зубной эмали. Это делает их почти незаметными для посторонних глаз.
Другие достоинства:
— низкая вероятность травмирования ротовой полости;
— эстетичность;
— невосприимчивость к действию красителей;
— прочность;
— хорошая фиксация;
— простота ухода.
Установка керамических брекетов рекомендована людям, склонным к аллергии и чувствительным к различным металлам. Гигиеничный материал не вызывает отрицательных реакций организма и не имеет противопоказаний. Используя систему нужно отрегулировать рацион, исключив все твёрдые продукты.

Сколько времени занимает лечение?
| Правила ношения и ухода за керамическими брекетами
Рекомендации, которые необходимо соблюдать во время ношения брекетов: 1. Блюда и напитки не должны быть слишком горячими или холодными. 2. Не стоит принимать слишком твердую пищу. 3. Следует отказаться от использования жевательной резинки. Она может прилипать к элементам конструкции, что потребует их дополнительной очистки. 4. Гигиенические требования по уходу за полостью рта сохраняются, но теперь дополнительно для ежедневной чистки зубов нужно применять специальные зубные нити, ершики и щетки.
|
В среднем продолжительность лечения занимает 1-1,5 года. Точные сроки может устанавливать только врач — ортодонт. Этот же специалист назначает даты очередных осмотров. Обычно они проводятся ежемесячно. Во время таких посещений специалист проводит профилактическую чистку конструкции и следит за изменением прикуса и состоянием зубного ряда.
Снятие керамических брекет-систем
Так как брекеты прикрепляются к зубам при помощи клея, то процедура их снятия не составляет особых сложностей. Эту манипуляцию осуществляет специалист при помощи специального пинцета. Процедура абсолютно безболезненна. Необходимо знать, что на этапе снятия брекет-систем лечение не завершается. Необходимо закрепить полученный результат, иначе возможен возврат зубов в неправильное положение. Для профилактики этого состояния используют съемные (пластиковые каппы) или несъемные ретейнеры.
Меры предосторожности после установки
Когда конструкции установлены, нужно знать правила ухода за ними, чтобы система отслужила максимально эффективно и дала желаемый эффект. Керамические брекеты регулярно очищаются зубной щеткой, специальным ёршиком. Чтобы удалять налет и остатки пищи из межзубных промежутков, нужен суперфлос. Чтобы механически не испортить конструкцию, не нарушить ее устойчивость на зубе, запрещается употреблять в пищу твердые продукты: орехи, сухарики и т.п. Любая пища, которая требует усилий при жевании, может привести к смещению устройства или даже откалыванию кусочка фарфора. Если такое все же произошло, нужно сразу же обратиться к врачу, установившему брекеты, для восстановления конструкции или стабилизации системы.

Сколько стоят керамические брекеты в Киеве
Ортодонты стоматологии «Deutsch Dent» подберут и установят керамические брекеты так, чтобы Вы могли улыбаться так часто, как вам этого захочется! Керамическая брекет-система устанавливается быстро, а её ношение позволяет исправить недостатки и дефекты прикуса, придать улыбке здоровый вид и избежать неприятных проблем с зубами в будущем. Установка брекет системы из керамики по цене немного отличается от традиционных металлических аналогов, но это различие стоит того, ведь керамическая брекет система гораздо удобней и обладает эстетической привлекательностью. В целом, цены на брекеты в нашей клинике очень демократичны, пациенты могут выбрать установку конструкции на необходимое количество зубов, чтобы своевременно позаботиться о здоровье. С нашим прейскурантом Вы можете ознакомиться на сайте или записавшись на консультацию к специалистам по телефонам +380662088346, +380974436768.

Немецкое качество – украинские цены
Стоматология Deutsch Dent
«Индивидуальный подход к каждому пациенту, высокое качество и безболезненное лечение по самым доступным ценам!»
Наша клиника предоставляет полный набор разнообразных услуг в области дентальной медицины. Ориентация на наивысший уровень в обслуживании, неустанное стремление к удовлетворению пожеланий наиболее требовательных пациентов – это цель работы клиники «Deutsch Dent».
Наши специалисты обладают успешным многолетним опытом и применяют инновационные методы стоматологической диагностики и лечения, используя лучшее европейское оборудование.
«Deutsch Dent» - постоянно поддерживает партнерские отношения с передовыми клиниками Германии. Мы с уверенностью гарантируем отличный результат, стоматологическое лечение на высоком уровне и максимальный комфорт для пациента. Мы обеспечиваем вам и вашим детям лучшее стоматологическое лечение (стоматология на позняках), индивидуальные консультации, высококачественное обслуживание.
Добро пожаловать в Deutsch Dent
d-dent@ukr.net
Керамические брекеты
Керамические брекеты
Керамические брекеты — несъемные системы, состоящие из замочков, дуги, дополнительных механизмов (пружины, цепочки, кольца). Замок задает вектор перемещения зуба. Он соединен с дугой, обладающей «эффектом памяти». После установки керамических брекетов, дуга стремится вернуться в первоначальное положение, исправляя неправильный прикус. Она является своеобразным механизмом для передвижения зубов.
Керамические брекеты – наиболее распространенная конструкция, применяющаяся в современной стоматологии для исправления прикуса и выравнивания зубного ряда.

Разновидности
По способу крепления замочков к дуге керамические брекеты могут быть – лигатурные и безлигатурные.
Лигатурные брекеты – классика ортодонтии. Нередко самые тяжелые нарушения прикуса можно исправить только при помощи таких брекетов. В лигатурной системе брекеты крепятся к дуге с помощью эластичных колец или тонкой ортодонтической проволоки. Такие брекет-системы эффективны при исправлении нарушений прикуса, они надежны и стоят недорого.
Безлигатурные, или самолигирующие брекеты – тенденция последнего десятилетия в ортодонтии, пришедшая из США. Такие системы позволяют уменьшить количество необходимых посещений доктора и облегчить соблюдение гигиены полости рта. Безлигатурные брекеты оснащены скользящими фиксаторами, с помощью которых дугу можно заменить чуть быстрее, тем самым сокращается время визита к доктору. Умение работать на таких системах для доктора сопряжена с необходимостью дополнительного обучения. Поэтому лечение на самолигирующих системах, как правило, стоит немного дороже, чем на безлигатурных.
Преимущества керамических брекетов
Основное преимущество керамических брекетов в том, что можно подобрать оттенок идентичный натуральному цвету зубной эмали. Это делает их почти незаметными для посторонних глаз.
Другие достоинства:
— низкая вероятность травмирования ротовой полости;
— эстетичность;
— невосприимчивость к действию красителей;
— прочность;
— хорошая фиксация;
— простота ухода.
Установка керамических брекетов рекомендована людям, склонным к аллергии и чувствительным к различным металлам. Гигиеничный материал не вызывает отрицательных реакций организма и не имеет противопоказаний. Используя систему нужно отрегулировать рацион, исключив все твёрдые продукты.

Сколько времени занимает лечение?
| Правила ношения и ухода за керамическими брекетами
Рекомендации, которые необходимо соблюдать во время ношения брекетов: 1. Блюда и напитки не должны быть слишком горячими или холодными. 2. Не стоит принимать слишком твердую пищу. 3. Следует отказаться от использования жевательной резинки. Она может прилипать к элементам конструкции, что потребует их дополнительной очистки. 4. Гигиенические требования по уходу за полостью рта сохраняются, но теперь дополнительно для ежедневной чистки зубов нужно применять специальные зубные нити, ершики и щетки.
|
В среднем продолжительность лечения занимает 1-1,5 года. Точные сроки может устанавливать только врач — ортодонт. Этот же специалист назначает даты очередных осмотров. Обычно они проводятся ежемесячно. Во время таких посещений специалист проводит профилактическую чистку конструкции и следит за изменением прикуса и состоянием зубного ряда.
Снятие керамических брекет-систем
Так как брекеты прикрепляются к зубам при помощи клея, то процедура их снятия не составляет особых сложностей. Эту манипуляцию осуществляет специалист при помощи специального пинцета. Процедура абсолютно безболезненна. Необходимо знать, что на этапе снятия брекет-систем лечение не завершается. Необходимо закрепить полученный результат, иначе возможен возврат зубов в неправильное положение. Для профилактики этого состояния используют съемные (пластиковые каппы) или несъемные ретейнеры.
Меры предосторожности после установки
Когда конструкции установлены, нужно знать правила ухода за ними, чтобы система отслужила максимально эффективно и дала желаемый эффект. Керамические брекеты регулярно очищаются зубной щеткой, специальным ёршиком. Чтобы удалять налет и остатки пищи из межзубных промежутков, нужен суперфлос. Чтобы механически не испортить конструкцию, не нарушить ее устойчивость на зубе, запрещается употреблять в пищу твердые продукты: орехи, сухарики и т.п. Любая пища, которая требует усилий при жевании, может привести к смещению устройства или даже откалыванию кусочка фарфора. Если такое все же произошло, нужно сразу же обратиться к врачу, установившему брекеты, для восстановления конструкции или стабилизации системы.

Сколько стоят керамические брекеты в Киеве
Ортодонты стоматологии «Deutsch Dent» подберут и установят керамические брекеты так, чтобы Вы могли улыбаться так часто, как вам этого захочется! Керамическая брекет-система устанавливается быстро, а её ношение позволяет исправить недостатки и дефекты прикуса, придать улыбке здоровый вид и избежать неприятных проблем с зубами в будущем. Установка брекет системы из керамики по цене немного отличается от традиционных металлических аналогов, но это различие стоит того, ведь керамическая брекет система гораздо удобней и обладает эстетической привлекательностью. В целом, цены на брекеты в нашей клинике очень демократичны, пациенты могут выбрать установку конструкции на необходимое количество зубов, чтобы своевременно позаботиться о здоровье. С нашим прейскурантом Вы можете ознакомиться на сайте или записавшись на консультацию к специалистам по телефонам +380662088346, +380974436768.

Керамические брекеты
Керамические брекеты
Керамические брекеты — несъемные системы, состоящие из замочков, дуги, дополнительных механизмов (пружины, цепочки, кольца). Замок задает вектор перемещения зуба. Он соединен с дугой, обладающей «эффектом памяти». После установки керамических брекетов, дуга стремится вернуться в первоначальное положение, исправляя неправильный прикус. Она является своеобразным механизмом для передвижения зубов.
Керамические брекеты – наиболее распространенная конструкция, применяющаяся в современной стоматологии для исправления прикуса и выравнивания зубного ряда.

Разновидности
По способу крепления замочков к дуге керамические брекеты могут быть – лигатурные и безлигатурные.
Лигатурные брекеты – классика ортодонтии. Нередко самые тяжелые нарушения прикуса можно исправить только при помощи таких брекетов. В лигатурной системе брекеты крепятся к дуге с помощью эластичных колец или тонкой ортодонтической проволоки. Такие брекет-системы эффективны при исправлении нарушений прикуса, они надежны и стоят недорого.
Безлигатурные, или самолигирующие брекеты – тенденция последнего десятилетия в ортодонтии, пришедшая из США. Такие системы позволяют уменьшить количество необходимых посещений доктора и облегчить соблюдение гигиены полости рта. Безлигатурные брекеты оснащены скользящими фиксаторами, с помощью которых дугу можно заменить чуть быстрее, тем самым сокращается время визита к доктору. Умение работать на таких системах для доктора сопряжена с необходимостью дополнительного обучения. Поэтому лечение на самолигирующих системах, как правило, стоит немного дороже, чем на безлигатурных.
Преимущества керамических брекетов
Основное преимущество керамических брекетов в том, что можно подобрать оттенок идентичный натуральному цвету зубной эмали. Это делает их почти незаметными для посторонних глаз.
Другие достоинства:
— низкая вероятность травмирования ротовой полости;
— эстетичность;
— невосприимчивость к действию красителей;
— прочность;
— хорошая фиксация;
— простота ухода.
Установка керамических брекетов рекомендована людям, склонным к аллергии и чувствительным к различным металлам. Гигиеничный материал не вызывает отрицательных реакций организма и не имеет противопоказаний. Используя систему нужно отрегулировать рацион, исключив все твёрдые продукты.

Сколько времени занимает лечение?
| Правила ношения и ухода за керамическими брекетами
Рекомендации, которые необходимо соблюдать во время ношения брекетов: 1. Блюда и напитки не должны быть слишком горячими или холодными. 2. Не стоит принимать слишком твердую пищу. 3. Следует отказаться от использования жевательной резинки. Она может прилипать к элементам конструкции, что потребует их дополнительной очистки. 4. Гигиенические требования по уходу за полостью рта сохраняются, но теперь дополнительно для ежедневной чистки зубов нужно применять специальные зубные нити, ершики и щетки.
|
В среднем продолжительность лечения занимает 1-1,5 года. Точные сроки может устанавливать только врач — ортодонт. Этот же специалист назначает даты очередных осмотров. Обычно они проводятся ежемесячно. Во время таких посещений специалист проводит профилактическую чистку конструкции и следит за изменением прикуса и состоянием зубного ряда.
Снятие керамических брекет-систем
Так как брекеты прикрепляются к зубам при помощи клея, то процедура их снятия не составляет особых сложностей. Эту манипуляцию осуществляет специалист при помощи специального пинцета. Процедура абсолютно безболезненна. Необходимо знать, что на этапе снятия брекет-систем лечение не завершается. Необходимо закрепить полученный результат, иначе возможен возврат зубов в неправильное положение. Для профилактики этого состояния используют съемные (пластиковые каппы) или несъемные ретейнеры.
Меры предосторожности после установки
Когда конструкции установлены, нужно знать правила ухода за ними, чтобы система отслужила максимально эффективно и дала желаемый эффект. Керамические брекеты регулярно очищаются зубной щеткой, специальным ёршиком. Чтобы удалять налет и остатки пищи из межзубных промежутков, нужен суперфлос. Чтобы механически не испортить конструкцию, не нарушить ее устойчивость на зубе, запрещается употреблять в пищу твердые продукты: орехи, сухарики и т.п. Любая пища, которая требует усилий при жевании, может привести к смещению устройства или даже откалыванию кусочка фарфора. Если такое все же произошло, нужно сразу же обратиться к врачу, установившему брекеты, для восстановления конструкции или стабилизации системы.

Сколько стоят керамические брекеты в Киеве
Ортодонты стоматологии «Deutsch Dent» подберут и установят керамические брекеты так, чтобы Вы могли улыбаться так часто, как вам этого захочется! Керамическая брекет-система устанавливается быстро, а её ношение позволяет исправить недостатки и дефекты прикуса, придать улыбке здоровый вид и избежать неприятных проблем с зубами в будущем. Установка брекет системы из керамики по цене немного отличается от традиционных металлических аналогов, но это различие стоит того, ведь керамическая брекет система гораздо удобней и обладает эстетической привлекательностью. В целом, цены на брекеты в нашей клинике очень демократичны, пациенты могут выбрать установку конструкции на необходимое количество зубов, чтобы своевременно позаботиться о здоровье. С нашим прейскурантом Вы можете ознакомиться на сайте или записавшись на консультацию к специалистам по телефонам +380662088346, +380974436768.

Керамические брекеты
Керамические брекеты
Керамические брекеты — несъемные системы, состоящие из замочков, дуги, дополнительных механизмов (пружины, цепочки, кольца). Замок задает вектор перемещения зуба. Он соединен с дугой, обладающей «эффектом памяти». После установки керамических брекетов, дуга стремится вернуться в первоначальное положение, исправляя неправильный прикус. Она является своеобразным механизмом для передвижения зубов.
Керамические брекеты – наиболее распространенная конструкция, применяющаяся в современной стоматологии для исправления прикуса и выравнивания зубного ряда.

Разновидности
По способу крепления замочков к дуге керамические брекеты могут быть – лигатурные и безлигатурные.
Лигатурные брекеты – классика ортодонтии. Нередко самые тяжелые нарушения прикуса можно исправить только при помощи таких брекетов. В лигатурной системе брекеты крепятся к дуге с помощью эластичных колец или тонкой ортодонтической проволоки. Такие брекет-системы эффективны при исправлении нарушений прикуса, они надежны и стоят недорого.
Безлигатурные, или самолигирующие брекеты – тенденция последнего десятилетия в ортодонтии, пришедшая из США. Такие системы позволяют уменьшить количество необходимых посещений доктора и облегчить соблюдение гигиены полости рта. Безлигатурные брекеты оснащены скользящими фиксаторами, с помощью которых дугу можно заменить чуть быстрее, тем самым сокращается время визита к доктору. Умение работать на таких системах для доктора сопряжена с необходимостью дополнительного обучения. Поэтому лечение на самолигирующих системах, как правило, стоит немного дороже, чем на безлигатурных.
Преимущества керамических брекетов
Основное преимущество керамических брекетов в том, что можно подобрать оттенок идентичный натуральному цвету зубной эмали. Это делает их почти незаметными для посторонних глаз.
Другие достоинства:
— низкая вероятность травмирования ротовой полости;
— эстетичность;
— невосприимчивость к действию красителей;
— прочность;
— хорошая фиксация;
— простота ухода.
Установка керамических брекетов рекомендована людям, склонным к аллергии и чувствительным к различным металлам. Гигиеничный материал не вызывает отрицательных реакций организма и не имеет противопоказаний. Используя систему нужно отрегулировать рацион, исключив все твёрдые продукты.

Сколько времени занимает лечение?
| Правила ношения и ухода за керамическими брекетами
Рекомендации, которые необходимо соблюдать во время ношения брекетов: 1. Блюда и напитки не должны быть слишком горячими или холодными. 2. Не стоит принимать слишком твердую пищу. 3. Следует отказаться от использования жевательной резинки. Она может прилипать к элементам конструкции, что потребует их дополнительной очистки. 4. Гигиенические требования по уходу за полостью рта сохраняются, но теперь дополнительно для ежедневной чистки зубов нужно применять специальные зубные нити, ершики и щетки.
|
В среднем продолжительность лечения занимает 1-1,5 года. Точные сроки может устанавливать только врач — ортодонт. Этот же специалист назначает даты очередных осмотров. Обычно они проводятся ежемесячно. Во время таких посещений специалист проводит профилактическую чистку конструкции и следит за изменением прикуса и состоянием зубного ряда.
Снятие керамических брекет-систем
Так как брекеты прикрепляются к зубам при помощи клея, то процедура их снятия не составляет особых сложностей. Эту манипуляцию осуществляет специалист при помощи специального пинцета. Процедура абсолютно безболезненна. Необходимо знать, что на этапе снятия брекет-систем лечение не завершается. Необходимо закрепить полученный результат, иначе возможен возврат зубов в неправильное положение. Для профилактики этого состояния используют съемные (пластиковые каппы) или несъемные ретейнеры.
Меры предосторожности после установки
Когда конструкции установлены, нужно знать правила ухода за ними, чтобы система отслужила максимально эффективно и дала желаемый эффект. Керамические брекеты регулярно очищаются зубной щеткой, специальным ёршиком. Чтобы удалять налет и остатки пищи из межзубных промежутков, нужен суперфлос. Чтобы механически не испортить конструкцию, не нарушить ее устойчивость на зубе, запрещается употреблять в пищу твердые продукты: орехи, сухарики и т.п. Любая пища, которая требует усилий при жевании, может привести к смещению устройства или даже откалыванию кусочка фарфора. Если такое все же произошло, нужно сразу же обратиться к врачу, установившему брекеты, для восстановления конструкции или стабилизации системы.

Сколько стоят керамические брекеты в Киеве
Ортодонты стоматологии «Deutsch Dent» подберут и установят керамические брекеты так, чтобы Вы могли улыбаться так часто, как вам этого захочется! Керамическая брекет-система устанавливается быстро, а её ношение позволяет исправить недостатки и дефекты прикуса, придать улыбке здоровый вид и избежать неприятных проблем с зубами в будущем. Установка брекет системы из керамики по цене немного отличается от традиционных металлических аналогов, но это различие стоит того, ведь керамическая брекет система гораздо удобней и обладает эстетической привлекательностью. В целом, цены на брекеты в нашей клинике очень демократичны, пациенты могут выбрать установку конструкции на необходимое количество зубов, чтобы своевременно позаботиться о здоровье. С нашим прейскурантом Вы можете ознакомиться на сайте или записавшись на консультацию к специалистам по телефонам +380662088346, +380974436768.
