О клинике
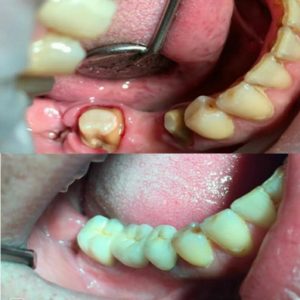
Металлокерамическая коронка
Металлокерамика
Металлокерамика – традиционный вид несъемного протезирования, который чаще всего используется для изготовления мостовидных протезов и коронок. Благодаря высокой прочности устанавливаются преимущественно в области коренных зубов.
Протезы из металлокерамики отличаются долговечностью и доступностью, очень точно имитируют естественный цвет и блеск зубов. При этом новые технологии позволяют устанавливать коронки на сохранную часть зуба максимально плотно, не оставляя пространства для скопления остатков пищи и патогенной флоры.

Достоинства металлокерамики:
Показания к протезированию:
Процесс изготовления и установки
Прежде чем ставить защиту на разрушенный зуб, необходимо привести его в порядок:
Процесс изготовления занимает около недели. Предварительно врач подбирает подходящий оттенок для напыления, чтобы коронка не выделялась из зубного ряда.


Стоимость металлокерамической зубной коронки в клинике Deutsch Dent (Киев) невелика, но окончательная цена зависит от выбранной металлической основы и может включать в себя подготовительные процедуры, связанные с лечением. Ожидания пациента, решившего поставить защиту на зуб из металлокерамики будут оправданы, если будет проведена качественная предварительная подготовка.
Немецкое качество – украинские цены
Стоматология Deutsch Dent
«Индивидуальный подход к каждому пациенту, высокое качество и безболезненное лечение по самым доступным ценам!»
Наша клиника предоставляет полный набор разнообразных услуг в области дентальной медицины. Ориентация на наивысший уровень в обслуживании, неустанное стремление к удовлетворению пожеланий наиболее требовательных пациентов – это цель работы клиники «Deutsch Dent».
Наши специалисты обладают успешным многолетним опытом и применяют инновационные методы стоматологической диагностики и лечения, используя лучшее европейское оборудование.
«Deutsch Dent» - постоянно поддерживает партнерские отношения с передовыми клиниками Германии. Мы с уверенностью гарантируем отличный результат, стоматологическое лечение на высоком уровне и максимальный комфорт для пациента. Мы обеспечиваем вам и вашим детям лучшее стоматологическое лечение (стоматология на позняках), индивидуальные консультации, высококачественное обслуживание.
Добро пожаловать в Deutsch Dent
d-dent@ukr.net
Металлокерамическая коронка
Металлокерамика
Металлокерамика – традиционный вид несъемного протезирования, который чаще всего используется для изготовления мостовидных протезов и коронок. Благодаря высокой прочности устанавливаются преимущественно в области коренных зубов.
Протезы из металлокерамики отличаются долговечностью и доступностью, очень точно имитируют естественный цвет и блеск зубов. При этом новые технологии позволяют устанавливать коронки на сохранную часть зуба максимально плотно, не оставляя пространства для скопления остатков пищи и патогенной флоры.

Достоинства металлокерамики:
Показания к протезированию:
Процесс изготовления и установки
Прежде чем ставить защиту на разрушенный зуб, необходимо привести его в порядок:
Процесс изготовления занимает около недели. Предварительно врач подбирает подходящий оттенок для напыления, чтобы коронка не выделялась из зубного ряда.


Стоимость металлокерамической зубной коронки в клинике Deutsch Dent (Киев) невелика, но окончательная цена зависит от выбранной металлической основы и может включать в себя подготовительные процедуры, связанные с лечением. Ожидания пациента, решившего поставить защиту на зуб из металлокерамики будут оправданы, если будет проведена качественная предварительная подготовка.
Металлокерамическая коронка
Металлокерамика
Металлокерамика – традиционный вид несъемного протезирования, который чаще всего используется для изготовления мостовидных протезов и коронок. Благодаря высокой прочности устанавливаются преимущественно в области коренных зубов.
Протезы из металлокерамики отличаются долговечностью и доступностью, очень точно имитируют естественный цвет и блеск зубов. При этом новые технологии позволяют устанавливать коронки на сохранную часть зуба максимально плотно, не оставляя пространства для скопления остатков пищи и патогенной флоры.

Достоинства металлокерамики:
Показания к протезированию:
Процесс изготовления и установки
Прежде чем ставить защиту на разрушенный зуб, необходимо привести его в порядок:
Процесс изготовления занимает около недели. Предварительно врач подбирает подходящий оттенок для напыления, чтобы коронка не выделялась из зубного ряда.


Стоимость металлокерамической зубной коронки в клинике Deutsch Dent (Киев) невелика, но окончательная цена зависит от выбранной металлической основы и может включать в себя подготовительные процедуры, связанные с лечением. Ожидания пациента, решившего поставить защиту на зуб из металлокерамики будут оправданы, если будет проведена качественная предварительная подготовка.
Металлокерамическая коронка
Металлокерамика
Металлокерамика – традиционный вид несъемного протезирования, который чаще всего используется для изготовления мостовидных протезов и коронок. Благодаря высокой прочности устанавливаются преимущественно в области коренных зубов.
Протезы из металлокерамики отличаются долговечностью и доступностью, очень точно имитируют естественный цвет и блеск зубов. При этом новые технологии позволяют устанавливать коронки на сохранную часть зуба максимально плотно, не оставляя пространства для скопления остатков пищи и патогенной флоры.

Достоинства металлокерамики:
Показания к протезированию:
Процесс изготовления и установки
Прежде чем ставить защиту на разрушенный зуб, необходимо привести его в порядок:
Процесс изготовления занимает около недели. Предварительно врач подбирает подходящий оттенок для напыления, чтобы коронка не выделялась из зубного ряда.


Стоимость металлокерамической зубной коронки в клинике Deutsch Dent (Киев) невелика, но окончательная цена зависит от выбранной металлической основы и может включать в себя подготовительные процедуры, связанные с лечением. Ожидания пациента, решившего поставить защиту на зуб из металлокерамики будут оправданы, если будет проведена качественная предварительная подготовка.