О клинике
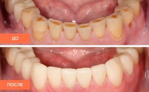
Циркониевая коронка
Циркониевая коронка
Одним из лучших решений для восстановления красивой улыбки сегодня считаются циркониевые коронки для зубов. В них сочетаются эстетика, надежность и безопасность — такие протезы имеют минимальные противопоказания к установке и легко прослужат всю жизнь. Поставить циркониевые коронки можно как на передние, так и на боковые зубы: они легко выдерживают жевательную нагрузку, при этом выглядят максимально естественно.

Преимущества циркониевых коронок
Показания к протезированию:
Изготовление коронок из диоксида циркония
Для изготовления зубных коронок из диоксида циркония применяется компьютерное моделирование (технология CAD/CAM). Современная компьютерная технология позволяет избежать погрешностей и неточностей при изготовлении конструкции.
Перед установкой конструкции из диоксида циркония стоматолог обследует и лечит зубы пациента: проводит лечение кариеса, удаляет старые некачественные пломбы, пломбирует каналы.

Срок службы циркониевых коронок
Поскольку протезы из оксида циркония намного тоньше, чем металлокерамика, они вызывают некоторую настороженность у пациентов в плане их долговечности. Но тонкость, даже «ажурность», относится лишь к внешним, субъективным впечатлениям: прочность циркония сравнивают с золотом, и срок службы коронок из этого материала не менее 15 лет.
Частый вопрос: Что лучше?
Перед пациентами нередко встает вопрос, что лучше — циркониевая коронка или металлокерамика? Чтобы ответить на него, нужно помнить, что у циркония есть множество преимуществ перед металлокерамической конструкцией. Этот материал прочнее, но при этом выглядит гораздо более естественно, поэтому его настоятельно рекомендуют использовать для протезирования передних зубов. Циркониевая коронка со временем не меняет цвет, а у основания зуба не появляется неэстетичной полоски металла. Кроме того, цирконий обладает низкой теплопроводностью, поэтому не будет вызывать неприятных ощущений во время употребления горячей или холодной пищи.
Тем не менее, у металлокерамики есть огромный плюс — это ее стоимость. Циркониевая коронка под ключ обходится примерно в 2 — 3 раз дороже, чем металлокерамическая. Такая разница обусловлена стоимостью расходных материалов и сложностью технического процесса, но долговечность и эстетические свойства циркония сполна ее компенсируют. В любом случае, циркониевая или металлокерамическая коронка — решает каждый индивидуально, конечно, не без помощи врача-ортопеда.

Стоимость циркониевой коронки в Киеве
Для того чтобы сказать, сколько стоит циркониевая коронка, необходимо учесть ряд факторов, формирующих стоимость. Важно понять, нужна ли будет под коронку вкладка и каким образом она будет установлена — на собственный зуб или на имплантат. Цены на циркониевые коронки в стоматологии Deutsch Dent (метро Позняки) вас приятно порадуют. Для того что бы точно сказать сколько будет стоить протезирование циркониевыми коронками ждем вас на консультацию, на которую Вы можете записаться по телефонам указанным на сайте.
Немецкое качество – украинские цены
Стоматология Deutsch Dent
«Индивидуальный подход к каждому пациенту, высокое качество и безболезненное лечение по самым доступным ценам!»
Наша клиника предоставляет полный набор разнообразных услуг в области дентальной медицины. Ориентация на наивысший уровень в обслуживании, неустанное стремление к удовлетворению пожеланий наиболее требовательных пациентов – это цель работы клиники «Deutsch Dent».
Наши специалисты обладают успешным многолетним опытом и применяют инновационные методы стоматологической диагностики и лечения, используя лучшее европейское оборудование.
«Deutsch Dent» - постоянно поддерживает партнерские отношения с передовыми клиниками Германии. Мы с уверенностью гарантируем отличный результат, стоматологическое лечение на высоком уровне и максимальный комфорт для пациента. Мы обеспечиваем вам и вашим детям лучшее стоматологическое лечение (стоматология на позняках), индивидуальные консультации, высококачественное обслуживание.
Добро пожаловать в Deutsch Dent
d-dent@ukr.net
Циркониевая коронка
Циркониевая коронка
Одним из лучших решений для восстановления красивой улыбки сегодня считаются циркониевые коронки для зубов. В них сочетаются эстетика, надежность и безопасность — такие протезы имеют минимальные противопоказания к установке и легко прослужат всю жизнь. Поставить циркониевые коронки можно как на передние, так и на боковые зубы: они легко выдерживают жевательную нагрузку, при этом выглядят максимально естественно.

Преимущества циркониевых коронок
Показания к протезированию:
Изготовление коронок из диоксида циркония
Для изготовления зубных коронок из диоксида циркония применяется компьютерное моделирование (технология CAD/CAM). Современная компьютерная технология позволяет избежать погрешностей и неточностей при изготовлении конструкции.
Перед установкой конструкции из диоксида циркония стоматолог обследует и лечит зубы пациента: проводит лечение кариеса, удаляет старые некачественные пломбы, пломбирует каналы.

Срок службы циркониевых коронок
Поскольку протезы из оксида циркония намного тоньше, чем металлокерамика, они вызывают некоторую настороженность у пациентов в плане их долговечности. Но тонкость, даже «ажурность», относится лишь к внешним, субъективным впечатлениям: прочность циркония сравнивают с золотом, и срок службы коронок из этого материала не менее 15 лет.
Частый вопрос: Что лучше?
Перед пациентами нередко встает вопрос, что лучше — циркониевая коронка или металлокерамика? Чтобы ответить на него, нужно помнить, что у циркония есть множество преимуществ перед металлокерамической конструкцией. Этот материал прочнее, но при этом выглядит гораздо более естественно, поэтому его настоятельно рекомендуют использовать для протезирования передних зубов. Циркониевая коронка со временем не меняет цвет, а у основания зуба не появляется неэстетичной полоски металла. Кроме того, цирконий обладает низкой теплопроводностью, поэтому не будет вызывать неприятных ощущений во время употребления горячей или холодной пищи.
Тем не менее, у металлокерамики есть огромный плюс — это ее стоимость. Циркониевая коронка под ключ обходится примерно в 2 — 3 раз дороже, чем металлокерамическая. Такая разница обусловлена стоимостью расходных материалов и сложностью технического процесса, но долговечность и эстетические свойства циркония сполна ее компенсируют. В любом случае, циркониевая или металлокерамическая коронка — решает каждый индивидуально, конечно, не без помощи врача-ортопеда.

Стоимость циркониевой коронки в Киеве
Для того чтобы сказать, сколько стоит циркониевая коронка, необходимо учесть ряд факторов, формирующих стоимость. Важно понять, нужна ли будет под коронку вкладка и каким образом она будет установлена — на собственный зуб или на имплантат. Цены на циркониевые коронки в стоматологии Deutsch Dent (метро Позняки) вас приятно порадуют. Для того что бы точно сказать сколько будет стоить протезирование циркониевыми коронками ждем вас на консультацию, на которую Вы можете записаться по телефонам указанным на сайте.
Циркониевая коронка
Циркониевая коронка
Одним из лучших решений для восстановления красивой улыбки сегодня считаются циркониевые коронки для зубов. В них сочетаются эстетика, надежность и безопасность — такие протезы имеют минимальные противопоказания к установке и легко прослужат всю жизнь. Поставить циркониевые коронки можно как на передние, так и на боковые зубы: они легко выдерживают жевательную нагрузку, при этом выглядят максимально естественно.

Преимущества циркониевых коронок
Показания к протезированию:
Изготовление коронок из диоксида циркония
Для изготовления зубных коронок из диоксида циркония применяется компьютерное моделирование (технология CAD/CAM). Современная компьютерная технология позволяет избежать погрешностей и неточностей при изготовлении конструкции.
Перед установкой конструкции из диоксида циркония стоматолог обследует и лечит зубы пациента: проводит лечение кариеса, удаляет старые некачественные пломбы, пломбирует каналы.

Срок службы циркониевых коронок
Поскольку протезы из оксида циркония намного тоньше, чем металлокерамика, они вызывают некоторую настороженность у пациентов в плане их долговечности. Но тонкость, даже «ажурность», относится лишь к внешним, субъективным впечатлениям: прочность циркония сравнивают с золотом, и срок службы коронок из этого материала не менее 15 лет.
Частый вопрос: Что лучше?
Перед пациентами нередко встает вопрос, что лучше — циркониевая коронка или металлокерамика? Чтобы ответить на него, нужно помнить, что у циркония есть множество преимуществ перед металлокерамической конструкцией. Этот материал прочнее, но при этом выглядит гораздо более естественно, поэтому его настоятельно рекомендуют использовать для протезирования передних зубов. Циркониевая коронка со временем не меняет цвет, а у основания зуба не появляется неэстетичной полоски металла. Кроме того, цирконий обладает низкой теплопроводностью, поэтому не будет вызывать неприятных ощущений во время употребления горячей или холодной пищи.
Тем не менее, у металлокерамики есть огромный плюс — это ее стоимость. Циркониевая коронка под ключ обходится примерно в 2 — 3 раз дороже, чем металлокерамическая. Такая разница обусловлена стоимостью расходных материалов и сложностью технического процесса, но долговечность и эстетические свойства циркония сполна ее компенсируют. В любом случае, циркониевая или металлокерамическая коронка — решает каждый индивидуально, конечно, не без помощи врача-ортопеда.

Стоимость циркониевой коронки в Киеве
Для того чтобы сказать, сколько стоит циркониевая коронка, необходимо учесть ряд факторов, формирующих стоимость. Важно понять, нужна ли будет под коронку вкладка и каким образом она будет установлена — на собственный зуб или на имплантат. Цены на циркониевые коронки в стоматологии Deutsch Dent (метро Позняки) вас приятно порадуют. Для того что бы точно сказать сколько будет стоить протезирование циркониевыми коронками ждем вас на консультацию, на которую Вы можете записаться по телефонам указанным на сайте.
Циркониевая коронка
Циркониевая коронка
Одним из лучших решений для восстановления красивой улыбки сегодня считаются циркониевые коронки для зубов. В них сочетаются эстетика, надежность и безопасность — такие протезы имеют минимальные противопоказания к установке и легко прослужат всю жизнь. Поставить циркониевые коронки можно как на передние, так и на боковые зубы: они легко выдерживают жевательную нагрузку, при этом выглядят максимально естественно.

Преимущества циркониевых коронок
Показания к протезированию:
Изготовление коронок из диоксида циркония
Для изготовления зубных коронок из диоксида циркония применяется компьютерное моделирование (технология CAD/CAM). Современная компьютерная технология позволяет избежать погрешностей и неточностей при изготовлении конструкции.
Перед установкой конструкции из диоксида циркония стоматолог обследует и лечит зубы пациента: проводит лечение кариеса, удаляет старые некачественные пломбы, пломбирует каналы.

Срок службы циркониевых коронок
Поскольку протезы из оксида циркония намного тоньше, чем металлокерамика, они вызывают некоторую настороженность у пациентов в плане их долговечности. Но тонкость, даже «ажурность», относится лишь к внешним, субъективным впечатлениям: прочность циркония сравнивают с золотом, и срок службы коронок из этого материала не менее 15 лет.
Частый вопрос: Что лучше?
Перед пациентами нередко встает вопрос, что лучше — циркониевая коронка или металлокерамика? Чтобы ответить на него, нужно помнить, что у циркония есть множество преимуществ перед металлокерамической конструкцией. Этот материал прочнее, но при этом выглядит гораздо более естественно, поэтому его настоятельно рекомендуют использовать для протезирования передних зубов. Циркониевая коронка со временем не меняет цвет, а у основания зуба не появляется неэстетичной полоски металла. Кроме того, цирконий обладает низкой теплопроводностью, поэтому не будет вызывать неприятных ощущений во время употребления горячей или холодной пищи.
Тем не менее, у металлокерамики есть огромный плюс — это ее стоимость. Циркониевая коронка под ключ обходится примерно в 2 — 3 раз дороже, чем металлокерамическая. Такая разница обусловлена стоимостью расходных материалов и сложностью технического процесса, но долговечность и эстетические свойства циркония сполна ее компенсируют. В любом случае, циркониевая или металлокерамическая коронка — решает каждый индивидуально, конечно, не без помощи врача-ортопеда.

Стоимость циркониевой коронки в Киеве
Для того чтобы сказать, сколько стоит циркониевая коронка, необходимо учесть ряд факторов, формирующих стоимость. Важно понять, нужна ли будет под коронку вкладка и каким образом она будет установлена — на собственный зуб или на имплантат. Цены на циркониевые коронки в стоматологии Deutsch Dent (метро Позняки) вас приятно порадуют. Для того что бы точно сказать сколько будет стоить протезирование циркониевыми коронками ждем вас на консультацию, на которую Вы можете записаться по телефонам указанным на сайте.